PROTOCOLO SEM GENGIVA É POSSIVEL?

Publicado em 5 de maio de 2025 às 20:24

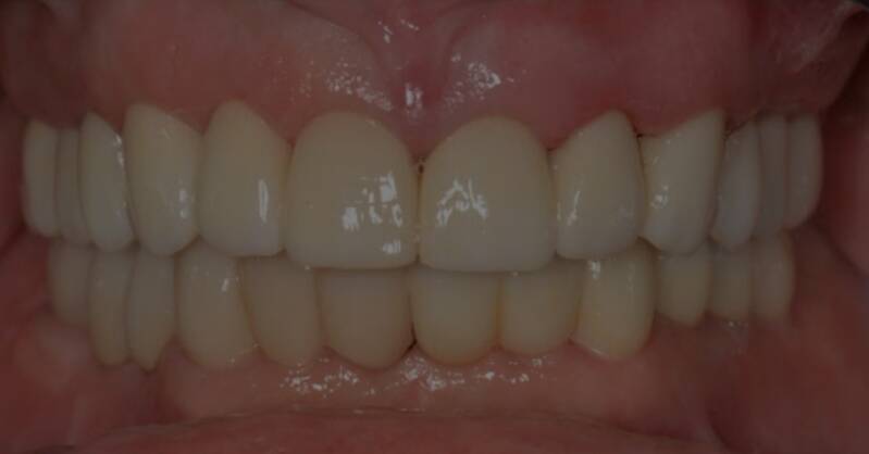
As técnicas usadas atualmente evitam perdas dentarias, porém quando indicadas devem ser alinhadas e discutidas com os pacientes , a vantagem das técnicas mais modernas é menos invasivas, sem incisões, corte ósseo ou gengival, permitem ao profissional mais naturalidade na finalização, caso ocorra um planejamento minimamente invasiva e o paciente tiver boa altura de osso e gengiva, é até mais indicado fazer a protese protocolo sem gengiva.

Atualmente muitos pacientes pedem esse tipo de protese além da higiene maior o conforto é similar à ter dentes não dentadura. Mesmo assim deve ser avaliado para ver se essa solução é o melhor resultado a ser obtido.

Adicionar comentário

Comentários

Ainda não há comentários.

Crie seu próprio site com Webador